Book Online Now Contact Us

Book Online now

Book a consultation with our Treatment Consultant or Specialist Orthodontist to learn which orthodontic treatment is right for you.

*Terms and conditions apply.
By submitting this form, you are agreeing to our privacy policy.

  • 1 Initial orthodontic Assessment with our specialist team
  • 2 Discuss your
    treatment
    options
  • 3 Choose An
    Affordable
    payment plan

The perfect
solution for
you

Ready to book
your consultation?

Book a Consultation Book a Remote Consultation

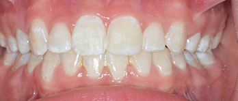
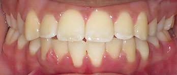
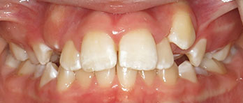
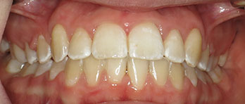
Our smile transformations